📸 Perché è importante fare una lastra di controllo ogni 2 anni?
Un piccolo gesto per un grande vantaggio nella salute orale!
Quando si parla di salute dentale, prevenzione è la parola chiave. Ma non si tratta solo di spazzolino, filo interdentale e visite regolari: anche le radiografie dentali di controllo, meglio conosciute come lastre, giocano un ruolo fondamentale.
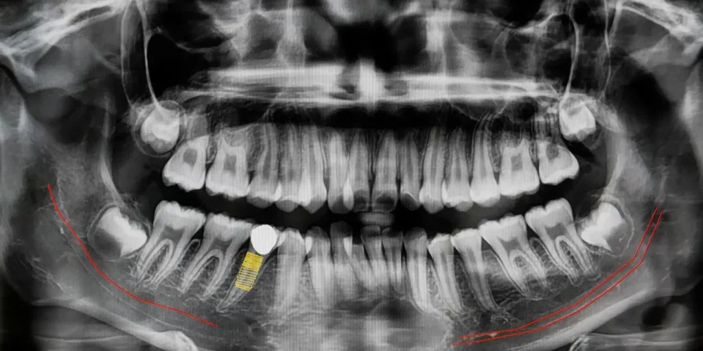
🔍 Cosa sono le lastre dentali?
Le radiografie endorali o panoramiche sono esami diagnostici rapidi e indolori che permettono al dentista di “vedere” ciò che l’occhio nudo non può. Denti, radici, ossa mascellari, strutture invisibili durante una semplice visita clinica: tutto viene analizzato con precisione.
🦷 Perché ogni 2 anni?
Ogni persona è diversa, ma in media si consiglia una lastra di controllo ogni 24 mesi per diversi motivi:
- Individuazione precoce di carie nascoste, soprattutto tra un dente e l’altro, dove lo spazzolino non arriva.
- Controllo dello stato delle otturazioni, corone o impianti, per verificare che tutto sia in ordine.
- Monitoraggio della salute ossea, essenziale soprattutto nei pazienti adulti o portatori di protesi.
- Valutazione di problematiche invisibili come infezioni, granulomi o cisti che non danno sintomi… finché non è troppo tardi.
⚠️ “Se non ho dolore, perché fare una lastra?”
È una domanda frequente, e la risposta è semplice: molti problemi dentali si sviluppano in silenzio. Quando compare il dolore, spesso il danno è già avanzato. Le radiografie ci aiutano a intervenire in tempo, risparmiando al paziente terapie più invasive e costose.
☢️ E la questione della sicurezza?
Le apparecchiature radiologiche moderne emettono dosi minime di radiazioni, assolutamente sicure. Inoltre, il dentista valuta sempre il beneficio reale dell’esame, evitando qualsiasi esposizione non necessaria.
Fare una lastra ogni due anni è una scelta equilibrata tra prevenzione e cautela!!
✅ In sintesi
Una lastra di controllo ogni due anni è un piccolo investimento nella tua salute orale. Con pochi minuti del tuo tempo, puoi evitare problemi futuri, curare prima del tempo e mantenere il tuo sorriso in forma perfetta.
📍 Allo Studio Dentistico EVOTEC, la tua salute dentale è la nostra priorità: ci prendiamo cura di te con tecnologie all’avanguardia e un approccio personalizzato.
📞 Contattaci oggi stesso per prenotare la tua visita di controllo! Il tuo sorriso ti ringrazierà.






